“马上就到我做 CT 了,怎么医生却让我提前喝水?喝得我都快吐了,这到底是为啥啊?”相信不少小伙伴在 CT 检查室门口都遇到过这样的困惑 —— 明明都按要求空腹等了好久,眼看要检查了,却被医生“催促”着喝一大杯水,喝到胃胀难受还得强忍着。其实,你可别误会医生,这看似 “折腾”的操作,恰恰是为了让检查顺利进行、结果更准确的“双保险”,而且两道保险的时间差把控得恰到好处,缺一不可!

一、第一道保险:检查前4-6小时禁食禁水,让胃 “空仓待命”
很多人以为“空腹”只是为了避免检查时肚子饿,其实背后藏着两大关键原因:
一是保障安全。如果胃里有食物,检查过程中若出现不适引发呕吐,食物残渣很可能呛入气管,带来窒息风险。让胃保持“空仓”状态,就算出现呕吐,也能最大程度减少危险。
二是保证图像清晰。食物残渣在 CT 图像上可能会形成“干扰伪影”,就像拍照时镜头里进了杂质,会模糊器官的真实形态,影响医生对病情的判断。空腹能让胃肠道“干干净净”,为后续清晰成像打下基础。
二、第二道保险:检查前15-20分钟喝500-1000ml水,给胃肠“做造型”
熬过了漫长的禁食禁水,终于要检查了,为啥还要突然“猛灌水”?这可不是随便喝的,每一口都在为清晰成像“助力”:喝水的核心目的:让胃和十二指肠充分充盈。空腹时胃肠道是“瘪着”的,就像没吹满气的气球,器官壁的细节很难看清;而温水能快速通过空胃,均匀撑开胃肠腔,把胃肠道“撑”成饱满的形态,相当于给胃肠做了一次“造型”。
成像的“小技巧”:充盈的胃肠道里,水会形成“天然背景色”,再配合血管里的显影剂,CT 扫描时就能清晰拍出胃肠壁的“高清写真”—— 无论是微小的炎症、息肉,还是潜在的病变,都能更准确地被医生发现。
不用担心吐!很多人怕喝太多水会吐,其实这时喝的水会快速进入肠道,不会在胃里长时间停留,加上之前已经空腹4-6小时,胃里没有食物残渣,呕吐风险反而很低。不过要注意,喝水时建议匀速慢饮,别一口气猛灌,避免短时间内胃胀得难受。
补充提醒:上检查床前,医生通常还会让你再喝200-300ml水,这是为了确保检查时胃肠始终保持充盈状态,不浪费之前的准备。

三、这些情况不用做胃肠准备,别硬扛!
当然,也不是所有做 CT 的患者都需要经历“禁食 + 喝水”的流程。以下几类特殊患者,医生会根据病情省略胃肠准备,避免延误治疗或加重身体负担:
l 临床怀疑是急腹症的患者(比如肠梗阻、消化道穿孔等):这类情况需要争分夺秒明确诊断,若强行禁食喝水,可能会加重病情或耽误治疗时机;
l 急诊危重症患者:比如严重外伤、休克等紧急情况,首要任务是抢救生命,胃肠准备会暂时让位于紧急治疗;
l 严重心功能不全的患者:大量饮水会增加心脏负担,可能诱发或加重心衰,医生会根据患者的心脏功能调整准备方案。

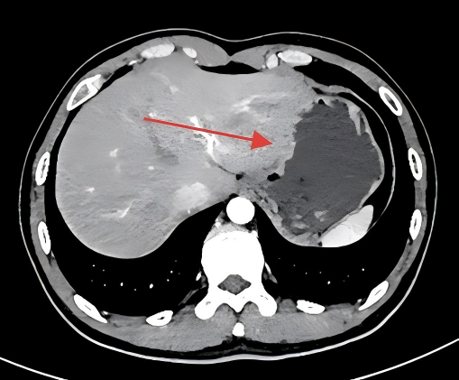
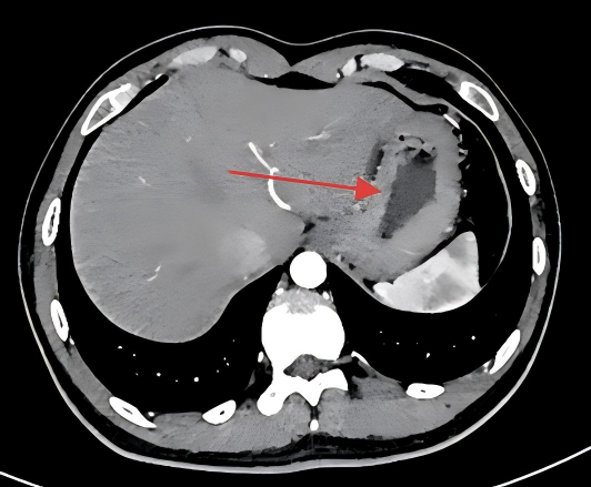
左起:图1a图1b
图1a检查时患者未喝水,胃壁显示的比较厚(红色箭头),此时若患者存在粘膜病变(如小溃疡或早期胃癌),很容易被漏掉。
图1b检查时患者充分饮水,胃腔被撑开(红色箭头),胃壁变薄。此时若存在异常增厚的胃壁(比如炎症或肿瘤),就不会容易漏掉疾病,能更清楚的发现疾病。
所以下次再遇到 CT 检查前“先饿再喝”的要求,别再困惑啦!这每一步都是医生为了你的安全和检查效果精心设计的。如果不确定自己是否需要做胃肠准备,或者有特殊的身体状况,提前和医生沟通,医生会根据你的情况给出最合适的建议。

作者简介:乌宏娟 朝阳市第二医院(朝阳市妇婴医院)放射科 主治医师
初审:王 茜 辽宁省医学会
复审:范仲凯 辽宁省医学会医学科学普及专科分会副主任委员
排版:梁伟健 辽宁省医学会
校对:王子薇 辽宁省医学会