到了医院,经常会遇到需要做X射线、CT、彩超和磁共振检查的情况,很多人还分不清楚,现在带你快速了解这些检查吧!
X射线:快速筛查的“平面快照”
利用X射线穿透人体,不同密度的组织吸收射线程度不同,形成黑白二维重叠影像。可在数分钟内完成检查,成本低、效率高。适用于骨折初筛(如手腕、肋骨、四肢骨骼)、肺炎诊断、脊柱侧弯评估等。
但微小病变易漏诊、具有电离辐射、不适用于软组织精细成像。检查时注意需去除检查部位金属饰品。

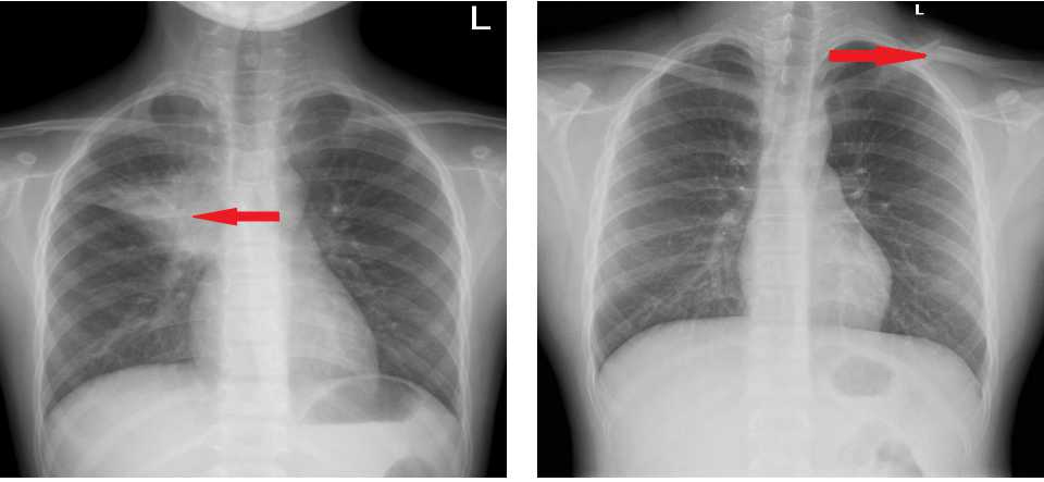
左起:图1a图1b
图1a胸部正位,右肺上叶肺炎;图1b胸部正位,左侧锁骨骨折
CT:断层扫描的“高清切片”
通过X射线360°旋转扫描,将人体切割为毫米级薄层,经计算机重建为横断面或三维图像,密度分辨率较高。增强CT(注射对比剂)可清晰显示血管病变(如动脉瘤)和肿瘤血供。CT适用于急诊创伤评估(如脑出血、内脏破裂)、肺结节定性、肿瘤分期及手术规划等。
但辐射剂量高于射线、对软组织炎症、早期脑梗死敏感性低于MRI、对比剂可能引发过敏或肾功能损伤。检查前需禁食4小时(增强CT),去除检查部位金属物品。

左起:图2a图2b
图2a右侧顶叶脑出血;图2b心脏冠状动脉CTA 前降支狭窄
彩超:无辐射的“动态探查”
向人体发射超声波,接收组织反射的回波生成图像,多普勒技术可捕捉血流方向(红蓝色彩标记)和速度,实现动态实时观察。无辐射,孕妇可选。适用于腹部脏器检查(如肝囊肿、胆囊结石)、血管斑块评估、产科胎儿监测、心脏结构及功能测定等。
但肠道、肺部成像模糊、骨骼后方结构显示不清、结果依赖操作者经验等。腹部超声需空腹8小时,盆腔检查需憋尿。

图3胎儿头臀长标准声像切面
磁共振(MRI):软组织的“分子级显微镜”
利用强磁场使体内氢原子共振,采用射频脉冲激发,线圈接收其释放的电磁波信号成像,可多角度、多序列显示软组织细节。无电离辐射,孕3个月以上的妇女也可检查,适用于神经系统疾病(如脑梗死、脊髓肿瘤)、关节韧带损伤(如半月板撕裂)、肿瘤浸润范围评估等。
但检查时间长、特殊体内金属植入物可能引发危险、对钙化灶、骨皮质病变不敏感,肺部成像效果差,对运动敏感,图像受干扰因素较多,且费用较高(约CT的2-3倍),是幽闭恐惧症患者的禁忌检查。进入扫描室检查前务必去除全部金属物品。
X射线、CT、彩超和磁共振各具特色和优势,朋友们还是要根据自身的具体情况和医生的建议按需选择哦!

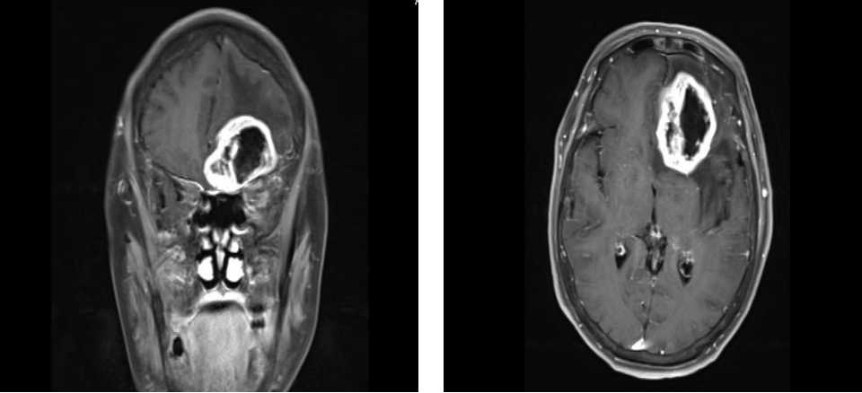
左起:图4a图4b
图4a同一患者的左侧额叶颅内占位(冠状位)
图4b同一患者的左侧额叶颅内占位(横断位)
作者简介:梁译丹 辽宁省金秋医院放射科主治医师
初审:李乔佳 辽宁省医学会
复审:苏红 辽宁省医学会医学科学普及专科分会主任委员
排版:梁伟健 辽宁省医学会
校对:李乔佳 辽宁省医学会