(一)什么是产前筛查?
产前筛查是采用简便、可行、较少创伤的检查方法,对发病率高、病情严重的遗传性疾病(如唐氏综合征)或先天畸形(神经管畸形等)进行产前筛查,检查出具有出生缺陷高风险的胎儿。通过产前筛查出可疑者再进一步进行产前诊断,是防治出生缺陷的非常重要的步骤。
目前的产前筛查手段主要有血清学筛查、无创DNA筛查及超声筛查。重要的几个产前筛查时间是孕11-13周的胎儿颈部透明层(NT)超声筛查及早期血清学唐氏筛查,孕14-20周的中期血清学唐氏筛查(或者也可在孕12周-22周进行准确性更高的无创DNA筛查),孕24周左右的超声筛查(通常被称为大排畸)和孕32周左右的超声筛查(通常被称为小排畸)。
如果产前筛查出现高风险的提示或者胎儿有结构异常,那么就需要进一步进行产前诊断。

NT增厚 胎儿四肢短小
(图片由沈阳市妇婴医院产前诊断中心提供)
(二)什么是产前诊断?
产前诊断是指对产前筛查提示高风险或者结构异常胎儿进一步进行诊断的过程,也包括具有遗传病家族史、明确遗传学原因的不良孕产史或者其他需要进行产前诊断的情况。
为了明确胎儿的病因或者明确诊断,产前诊断与产前筛查最大的不同点是需要获得胎儿的样本,比如绒毛取样、羊水取样或者脐血取样等。但是如果影像学检查,例如超声或者磁共振检查已经明确胎儿异常属于严重致残或者致死性畸形,通常会先进行终止妊娠。
产前诊断的时机是越早越好,即只要产前筛查提示高风险或者发现胎儿有结构异常,应立即进行产前诊断,以便尽早进行干预或者终止妊娠,保证母胎健康和安全。
(三)什么是羊水穿刺?
胎儿浸泡在母体子宫中的液体内,这个液体称为羊水。羊水中含有胎儿脱落细胞、渗出液、尿液或分泌物。因此,我们可以在超声设备的引导下,将一根细长针穿过孕妇肚皮及子宫壁,然后进入羊膜腔,抽取需求量的羊水,得到胎儿的脱落细胞,这个过程就叫做羊膜腔穿刺术,通常简称为羊水穿刺。这里需要强调一下,羊水穿刺只是获得胎儿样本的一种取样方法,而不是针对胎儿异常的进行的检测项目,很多准妈妈都误以为羊水穿刺就是做了检查,这个观念是错误的。


羊水穿刺
(图片由沈阳市妇婴医院产前诊断中心提供)
通过羊水穿刺获取胎儿样本后,我们可以根据不同的原因进行相应的检测,如羊水细胞的染色体检测、基因检测、病毒检测、生化检测、微生物检测等,便于查找胎儿异常的原因。
(四)羊水穿刺的孕周及指征
羊水穿刺是目前产前诊断最常用的取样技术,通常进行羊水穿刺的适宜孕周是孕16-26周。随着技术的发展,也可以在其他孕周进行羊水穿刺,但是需要充分地做好穿刺前的咨询工作。
羊水穿刺的适应征包括:(1)产前筛查(包括NT检查、唐氏筛查和无创DNA筛查)高风险人群;(2)夫妻双方为单基因病携带者或有明确的单基因病患儿生育史的孕妇;(3)夫妇一方有染色体异常者或有明确的染色体异常儿生育史的孕妇;(4)产前影像学检查提示胎儿结构异常的孕妇(如B超检查提示胎儿结构畸形、宫内生长发育迟缓等);(5)临床医生认为其他需要进行羊水穿刺的情形。
(五)羊水样本的检测项目有哪些?
1、遗传学检测:通常包括染色体和基因检测。
(1)染色体数目及大的结构异常检测可采用染色体核型分析、FISH、STR等,而染色体微小的缺失或重复检测可采用微阵列芯片、低深度的全基因组测序、FISH等。

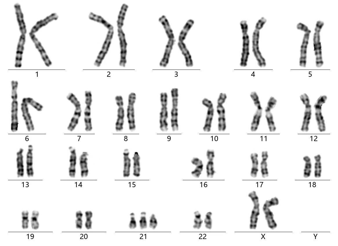
染色体核型分析诊断唐氏综合征
(图片由沈阳市妇婴医院产前诊断中心提供)
(2)基因变异检测可采用Sanger测序、MLPA、定量PCR、全外显子组测序、全基因组测序等。
2、生化检查:预测早产可以检测C反应蛋白及葡萄糖水平,检测羊水成熟度可以用磷脂酰甘油,羊水脂肪细胞计数一定程度上可以反映孕周及胎肺成熟,羊水肌酐可以作为胎儿肾脏成熟度的指标。
3、羊水中代谢物检查:质谱技术可直接检测羊水中的代谢物水平,为遗传代谢病的产前诊断提供依据。目前可检测的代谢物包含有机酸、氨基酸、酰基肉碱、嘌呤、嘧啶、类固醇激素、寡糖、糖脂等多类物质。
4、病毒检测:胎儿水肿需要检测羊水中B19细小病毒,PCR方法检测羊水HPV病毒判断是否有HPV宫内感染,胎儿中枢神经系统异常需要进行巨细胞病毒检测,胎儿是否感染新冠可以检测羊水中COVID-19病毒。
羊水样本的检测项目是根据不同的指征进行的,这需要临床医生的详细解释,列出的检测项目也只是让有需要的人士大致有个概念,因为每种检测项目都是非常复杂和专业的,所以在羊水穿刺前一定要做好检测前咨询。

作者简介:邱广蓉,中国医科大学生命科学学院医学遗传学教研室副主任、教授,辽宁省医学会医学遗传学分会主任委员。
初审:李乔佳 辽宁省医学会
复审:苏红 辽宁省医学会医学科学普及分会主任委员
排版:梁伟健 辽宁省医学会
校对:李乔佳 辽宁省医学会